пн-пт с 8:00 до 21:00

сб-вс с 8:00 до 20:00

Методы лучевой диагностики нейроэндокринных опухолей:

  • компьютерная томография (МСКТ),
  • магнитно-резонансная томография (МРТ, МРХПГ),
  • сцинтиграфия,
  • позитронно-эмиссионная томография (ПЭТ).

МСКТ и МРТ выполняются с внутривенным введением контрастного препарата. Последние два метода применяются для оценки активности опухоли – оценки ее метаболизма (обмен веществ). 

Задачи лучевой диагностики

  • Выявление патологического образования – нейроэндокринной опухоли.
  • Дифференциальная диагностика патологических образований.
  • Оценка распространенности поражения органов и систем.
  • Стадирование опухолей (TNM).
  • Оценка эффективности лечения.
  • Выявление рецидивов. 

Информация для пациента

МСКТ и МРТ имеют разную диагностическую ценность при обследовании того или иного органа. МСКТ - оптимальный метод для обследования легких и органов средостения, мягких тканей шеи, органов брюшной полости и забрюшинного пространства, желудочно-кишечного тракта. МРТ предоставляет исчерпывающую информацию о патологии головного мозга, орбит, органов малого таза (мочевой пузырь, предстательная железа, матка и яичники, прямая кишка), позволяет четко оценить органы брюшной полости и забрюшинного пространства, желчные протоки, специальная методика – МР-энтерография дает представление о патологии тонкого кишечника.

При выборе метода лучевой диагностики учитываются их точность, доступность и наличие противопоказаний.

  • беременность,
  • аллергия на йодсодержащие препараты,
  • гипертиреоз,
  • выраженное нарушение функции почек.

МРТ сложно выполнять пациентам в тяжелом общем состоянии, если они не могут задерживать дыхание, в соответствии с требованиями, что препятствует получению качественных диагностических изображения.

  • первый триместр беременности,
  • наличие металлических инородных тел,
  • наличие искусственных водителей ритма,
  • наличие кохлеарных имплантов,
  • наличие искусственных клапанов сердца (если нет сертификата, разрешающего проведение МРТ),
  • наличие эндопротезов крупных суставов и других металлоконструкций (если нет сертификата, разрешающего проведение МРТ).

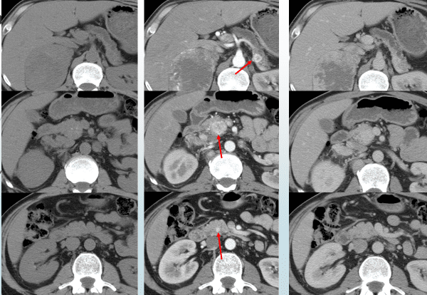
Рисунок 1. Множественные нейроэндокринные опухоли поджелудочной железы. Определяются только на фоне внутривенного введения контрастного препарата.

Рисунок 2. Нейроэндокринная опухоль желудка. Определяется только на фоне внутривенного введения контрастного препарата.

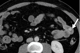
Рисунок 3. Нейроэндокринная опухоль кишечника. Определяется только на фоне внутривенного введения контрастного препарата.

В 50-90% случаев на поверхности злокачественных клеток нейроэндокринных опухолей (НЭО) наблюдается увеличение количества соматостатиновых трансмембранных рецепторов (somatostatin seven-transmembrane-domain receptor, SSTR). На этом основано применение радионуклидных методов диагностики. При выполнении позитронно-эмиссионной томографии (ПЭТ\КТ) для диагностики НЭО предназначены радиофармпрепараты 68Ga-DOTA-TATE (DOTA-TATE, меченый галлием-68) и 68Ga-DOTA-NOC (DOTA-NOC, меченый галлием-68), как обладающие сродством к большинству подтипов SSTR .

Нередко возникают ситуации, когда чувствительность ПЭТ/КТ с 68Ga-DOTA-TATE и 68Ga-DOTA-NOC снижена. В таких случаях возникает необходимость выполнения исследования с другим радиофармпрепаратом – 18F-фтордезоксиглюкозой (18F-ФДГ).

Для установления наиболее эффективного радиофармпрепарата в каждом конкретном клиническом случае необходимо воспользоваться нижеприведённой таблицей. Производится это путём сопоставления двух параметров, полученных из иммуногистохимического: Grade (G) и Ki-67 (параметры агрессивности опухоли).

РФП

Grade 1

Ki-67 ˂2%

Grade 2

Ki-67 3-10%

Grade 2

Ki-67 11-19%

Grade 3

Ki-67 ˃20% 

68Ga-DOTA-TATE и 68Ga-DOTA-NOC

++

++

++

-

18F-ФДГ

-

-

+

++


++: чувствительность метода высокая;

-: чувствительность метода низкая;

+: чувствительность метода одинаковая (ПЭТ/КТ можно выполнить как с 68Ga-DOTA-TATE и 68Ga-DOTA-NOC, так и с 18F-ФДГ).

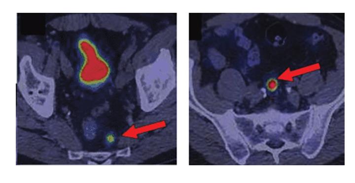
Рисунок 4. Накопление радиофармпрепарата 68Ga-DOTA-TATE пораженными лимфатическими узлами у пациента с НЭО прямой кишки.

Для проведения и качественной интерпретации данных лучевого исследования (КТ/МРТ/ПЭТ) врачу-рентгенологу необходимо знать цель исследования, результаты лабораторных тестов, данные архива лучевых исследований, важно ознакомиться с выписками и другими медицинскими документами каждого пациента.

Оставьте заявку на обратный звонок

Оставьте ваши контактные данные, и мы свяжемся с вами в ближайшее время