пн-пт с 8:00 до 21:00

сб-вс с 8:00 до 20:00

Что такое инсулинома?

Инсулинома – нейроэндокринная опухоль, возникающая из бета-клеток поджелудочной железы и продуцирующая повышенное количество инсулина. Более чем в 90% случаев инсулиномы - доброкачественные опухоли, то есть они не образовывают метастазы. В редких случаях инсулинома может метастазировать, в основном в печень.

В большинстве случаев инсулинома возникает спорадически, то есть случайно. В некоторых случаях (у одного из 14 пациентов) инсулинома является проявлением наследственного синдрома, называемого MEN 1 типа (синдром множественных эндокринных неоплазий первого типа).

Насколько распространены инсулиномы? Инсулинома - редкая опухоль. По статистике регистрируется 1 случай на 250 000 человек населения в год.

Симптомы инсулиномы

Поскольку инсулинома выделяет повышенное количество инсулина, это приводит к снижению уровня сахара в крови ниже нормальных значений. Развивается гипогликемия, которая проявляется такими симптомами, как:

  • чувство голода,
  • учащенное сердцебиение, чувство тревоги,
  • повышенная возбудимость, судороги,
  • сонливость, потливость и бледность,
  • головная боль, спутанность сознания,
  • угнетение сознания вплоть до комы.

Чаще всего такие симптомы возникают на фоне длительного голодания и в утренние часы, однако могут появиться и в другое время суток. Как правило, употребление пищи, богатой углеводами, облегчает вышеперечисленные симптомы.

Диагностика инсулиномы

Наличие инсулиномы можно заподозрить по клиническим проявлениям. 

В таком случае возможно проведение теста с голоданием, во время которого выполняется несколько контрольных замеров уровня сахара в крови. Таким образом подтверждается гипогликемическое состояние.

Также определяется уровень инсулина, проинсулина и С-пептида в крови.

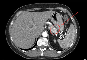
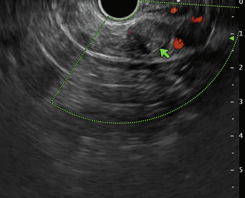
Выполнение КТ или МРТ с контрастированием помогает выявить инсулиному в поджелудочной железе и точно определить ее местоположение. Однако, в некоторых случаях обнаружение инсулиномы на КТ или МРТ может быть затруднительным. Тогда используется эндоультрасонография или эндоскопическое УЗИ.

Лечение инсулиномы

Лечение доброкачественной инсулиномы, как правило, хирургическое. Операция выполняется абдоминальными хирургами. 

Объем операции зависит от размера и расположения опухоли:

  • иногда можно сделать небольшую операцию, во время которой инсулинома вылущивается из ткани железы (энуклеация)
  • в других случаях операция заключается в резекции (удалении) части железы вместе с находящейся в ней инсулиномой

Перед операцией при необходимости проводится медикаментозная коррекция уровня сахара в крови.

В случае наличия метастатического варианта инсулиномы (злокачественный вариант) решение о лечении принимается командой из нескольких специалистов. Как правило, лечение в такой ситуации комплексное и сочетает хирургию и лекарственное лечение. Цель хирургического лечения – максимально уменьшить опухолевую массу в организме, таким образом снизив секрецию инсулина. Лекарственная терапия направлена на купирование симптомов и подавление роста оставшейся в организме опухоли. Для лекарственной терапии используют аналоги соматостатина (октреатид, ланреотид), эверолимус, сунитиниб и классические химиотерапевтические препараты.   

Оставьте заявку на обратный звонок

Оставьте ваши контактные данные, и мы свяжемся с вами в ближайшее время

Наши врачи

Все врачи
Реброва Дина Владимировна

Реброва Дина Владимировна

Врач-эндокринолог хирургического (эндокринологического) отделения, к.м.н.

Русаков Владимир Федорович

Русаков Владимир Федорович

Врач-эндокринолог хирургического (эндокринологического) отделения (внешний совместитель), к.м.н. (прием не ведет)

Слепцов Илья Валерьевич

Слепцов Илья Валерьевич

Главный специалист Клиники по эндокринологии, врач - хирург, эндокринолог, онколог хирургического (эндокринологического) отделения, д.м.н., профессор, заведующий кафедрой эндокринной хирургии медицинского института СПбГУ

Черных Максим Александрович

Черных Максим Александрович

Врач-онколог онкологического отделения № 2