пн-пт с 8:00 до 21:00

сб-вс с 8:00 до 20:00

Наиболее опасной областью нестабильности является сочленение первого (атланта) и второго (аксиса) позвонков. Это сложная по строению и очень нагружаемая по функции область. Атланто-аксиальное сочленение обеспечивает 50% поворота в шее, сохраняя спинной мозг и кровоток в позвоночных артериях, питающих головной мозг. К сожалению, в этой области наиболее часто возникают пороки развития и нарушения формирования. Они могут встречаться как у внешне здоровых детей, так и сопровождаться разной степенью кривошеи и неврологическими расстройствами, вплоть до тетраплегии (паралича конечностей) и нарушения дыхания.

На фото: рентгенограмма шейного отдела позвоночника с наклоном вперед у ребенка 15 лет, небольшие «ступеньки» между телами позвонков – это норма.

Рентгенограмма шейного отдела позвоночника с наклоном вперед у ребенка 15 лет, небольшие «ступеньки» между телами позвонков – это норма.

Также нестабильность шейного отдела позвоночника может локализоваться и в других отделах, что бывает значительно реже, но тоже может приводить к серьезным осложнениям.

Развитию клинических проявлений нестабильности шейного отдела позвоночника у детей может послужить даже незначительная травма (падение с высоты собственного роста, прыжок, кувырок). Негативные проявления нестабильности могут наступить и у взрослых, которым диагноз не был поставлен своевременно. Для многих системных, генетических заболеваний и множественных пороков характерно сочетание с нестабильностью шейного отдела позвоночника.

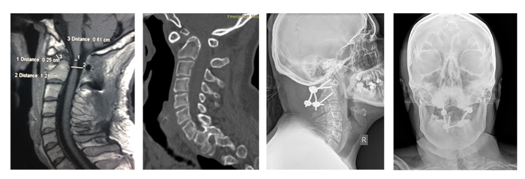
На фото: атланто-аксиальная нестабильность у ребенка 9 лет. Атлант смещен вперед, а спинной мозг оказывается сдавлен между дугой атланта и зубовидным отростком.

Скрининг патологии шейного отдела позвоночника в обязательном порядке должен проводится при следующих диагнозах

  • синдром Дауна,
  • синдром Гольденхара,
  • синдром Ларсена,
  • спондилоэпифизарная или спондилометаэпифизарная дисплазии,
  • псевдоахондроплазия,
  • дистрофическая дисплазия,
  • синдром Книста,
  • мукополисахаридоз,
  • артрогрипоз,
  • синдром Клиппель-Фейля,
  • синдром Шпренгеля (высокое стояние лопатки),
  • любые формы костных кривошей,
  • множественные пороки кистей, верхнего плечевого пояса, лица и черепа. 

Лечение нестабильности шейного отдела позвоночника

В большинстве случаев проводится одноэтапное хирургическое лечение с применением специальных титановых фиксаторов и костной пластики. По возможности фиксируется только зона нестабильности. При очень маленьких размерах, недоразвитии позвонков или наличии атланто-окципитальной нестабильности (несостоятельности соединения головы и шеи) в фиксацию включается и череп.

Важно сохранить подвижными максимальное количество позвоночно-двигательных сегментов. Во время подготовки к операции используются данные компьютерной томографии для расчетов размеров костных структур и безопасной траектории для проведения винтов. При необходимости создается объемная модель шейных позвонков и специальные направляющие на 3Д принтере.


На рис.: схема минимальной фиксации атланта и аксиса с помощью 2-х пар титановых винтов (техника по Goel-Harms), соединенных титановыми стержнями. Схема установленных на позвонки направителей для винтов, изготовленных на 3Д принтере. Рентгенограммы ребенка 5 лет после проведения данной операции.


Многие пациенты, имевшие нестабильность шейного отдела позвоночника и обратившиеся за помощью к нашим специалистам, полностью восстанавливаются и могут вести привычный для них образ жизни. Современная хирургия позволяет не использовать различные средства иммобилизации шейного отдела (воротники) на протяжении длительного времени.

На снимках: ребенок 3 лет со спондилоэпиметафизарной дисплазией и тетрапрегией, имеется нестабильность в области краниоцервикального перехода с сдавлением спинного мозга. Стрелкой обозначен смещенный вперед атлант. Очень маленькие размеры позвонков. Проведена фиксация «второй шейный позвонок – затылок», костная пластика. Смещение атланта и нестабильность устранены. Восстановление движений в конечностях после операции. Ребенок самостоятельно начал ходить.

На снимках: пациент 36 лет с атланто-аксиальной нестабильностью и сдавлением спинного мозга на фоне врожденного порока развития «зубовидной кости» (обозначена стрелкой). Тетрапарез после незначительной травмы. Проведена передняя мобилизация для устранения смещения и задняя фиксация с устранением нестабильности, костная пластика.

При наличии перечисленных выше проблем рекомендуем обратиться к специалисту по детской вертебрологии травматологического отделения № 3 Клиники СПбГУ в Санкт-Петербурге. Он назначит необходимое обследование, определит риски и при необходимости проведет оперативное лечение. При подтверждении нестабильности шейного отдела позвоночника с высокими рисками для здоровья и жизни оперативное лечение проводится в любом возрасте, даже у маленьких детей. 

Оставьте заявку на обратный звонок

Оставьте ваши контактные данные, и мы свяжемся с вами в ближайшее время

Наши врачи

Все врачи
Афанасьев Ардан Петрович

Афанасьев Ардан Петрович

Врач травматолог-ортопед травматологического отделения № 3, к.м.н.

Губин Александр Вадимович

Губин Александр Вадимович

Главный врач Клиники, врач травматолог-ортопед высшей категории, д.м.н., профессор, заведующий кафедрой травматологии и ортопедии Медицинского института СПбГУ

Рябых Сергей Олегович

Рябых Сергей Олегович

Врач травматолог-ортопед высшей квалификационной категории травматологического отделения № 3, д.м.н. (внешний совместитель)