пн-пт с 8:00 до 21:00

сб-вс с 8:00 до 20:00

Что такое нейроэндокринные опухоли (НЭО)? 

Нейроэндокринная система - совокупность отдельных клеток и групп клеток, которые располагаются как в эндокринных железах, так и в других органах человеческого тела. Эта система отвечает за связь между эндокринной и нервной системами тела и регулирует такие процессы как сокращение сердца, кровяное давление, секреция пищеварительных соков, рост мышечной и костной ткани.

Основные локализации нейроэндокринных клеток:

  • желудочно-кишечный тракт,
  • легкие,
  • тимус,
  • поджелудочная железа,
  • щитовидная и паращитовидные железы, надпочечники.  

Нейроэндокринные опухоли встречаются сравнительно редко и могут быть как злокачественными, так и доброкачественными. Чаще всего НЭО (устаревшее название – карциноиды) встречаются в следующих органах:

  • легкие и бронхи,
  • тонкая кишка, прямая кишка и аппендикс,
  • поджелудочная железа.  

Нейроэндокринные опухоли делятся по следующим признакам:

  • локализация опухоли - орган, в котором она расположена,
  • стадия опухолевого процесса - указывает на распространенность опухоли в организме,
  • гистологический тип - как опухоль выглядит под микроскопом.  

Факторы риска появления НЭО

Чаще всего эти опухоли возникают спорадически – то есть случайно. Но есть и наследственные мутации, при наличии которых риск возникновения НЭО возрастает. Описаны несколько наследственных опухолевых синдромов, при которых повышен риск появления НЭО:   

  • MEN 1 типа (multiple endocrine neoplasia – синдром множественных эндокринных неоплазий первого типа),
  • MEN 2 типа,
  • болезнь фон Гиппеля-Линдау,
  • нейрофиброматоз. 

Симптомы НЭО 

Не всегда у пациентов с НЭО есть какие-либо симптомы. Кроме того, симптомы часто не специфичны – то есть встречаются и при других заболеваниях. На основе наличия или отсутствия симптомов НЭО принято разделять на функциональные (симптомные) и нефункциональные (бессимптомные). Функциональные опухоли усиленно вырабатывают гормоны, которые и становятся причиной появления симптомов. 

Наиболее распространенные симптомы НЭО:

  • диарея,
  • покраснение кожи лица и шеи,
  • повышенное артериальное давление,
  • быстрая утомляемость,
  • головные боли,
  • тошнота.

Стадирование опухолевого процесса

Определение стадии играет ключевое значение, так как полностью определяет дальнейшее лечение. Как и при большинстве других опухолей, при НЭО принято выделять 4 стадии – от I до IV. При этом, кроме стадии, диагноз включает специальную кодировку – TNM, где:

  • T (tumor, опухоль) – описывает первичную опухоль,
  • N (nodes, лимфоузлы) – описывает распространение опухоли в лимфоузлы,
  • M (metastasis, метастазы) – описывает наличие или отсутствие метастазов.

Еще один параметр, описывающий нейроэндокринную опухоль – Grade. Он используется для описания способности опухоли к быстрому росту и распространению по организму и бывает 3 степеней:

  • G1 (low grade) – низкий темп роста и распространения,
  • G2 (intermediate grade) – промежуточный,
  • G3 (high grade) – высокий темп роста и распространения. 

Обследование при подозрении НЭО

  • Сбор жалоб и анамнеза (истории болезни),
  • Анализ крови и мочи для выявления биохимических маркеров нейроэндокринной опухоли,
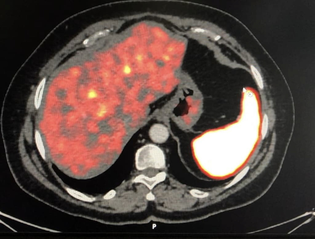
  • КТ или МРТ,
  • ПЭТ-КТ с галием (68Ga-DOTATATE и 68Ga-DOTANOC),
  • ПЭТ-КТ с глюкозой (ФДГ)
  • Сцинтиграфия с 111 In-Octreotide,
  • ФГДС (фиброгастроскопия),
  • ФБС (фибробронхоскопия),
  • ФКС (фиброколоноскопия),
  • Эндо-УЗИ,
  • Капсульная эндоскопия.

Особое место в диагностике занимает биопсия – забор фрагмента опухоли для точного определения ее типа. Биопсию возможно выполнить различными методами, например, при ФКС или ФГС. После биопсии фрагмент опухоли отправляется на гистологическое и иммуногистохимическое исследование (под микроскопом) для определения типа и агрессивности опухоли. 

Какие из обследований будут использованы в Вашей ситуации будет определяться Вашим лечащим врачом. Часто при обследовании и планировании лечения необходимо получить консультацию у смежного специалиста, например, у кардиолога.

Лечение нейроэндокринных опухолей

Учитывая редкость НЭО и сложность постановки диагноза, перед началом лечения каждый пациент обсуждается мультидисциплинарной командой. В ее состав входят:

  • онколог-химиотерапевт,
  • онколог-хирург,
  • врач-эндокринолог,
  • врач-морфолог,
  • специалист лучевой диагностики,
  • при необходимости – дополнительные специалисты: кардиолог, анестезиолог и т.д.

В ходе разбора клинической ситуации каждого конкретного пациента вырабатывается коллегиальный индивидуальный план лечения, а при необходимости – дополнительного обследования.

Возможности лечения при НЭО:

  • хирургическое лечение,
  • химиотерапия,
  • таргетная терапия,
  • терапия аналогами Соматостатина,
  • лучевая терапия, 
  • эмболизация при наличии метастазов в печени.

Часто лечение складывается из комбинации нескольких методов для достижения наиболее хорошего результата. Кроме того, бывают ситуации, когда одному пациенту подходят два варианта лечения с одинаковой эффективностью. Наилучший для Вас вариант лечения Вам расскажет лечащий врач по итогам работы мультидисциплинарной команды.      

Оставьте заявку на обратный звонок

Оставьте ваши контактные данные, и мы свяжемся с вами в ближайшее время

Наши врачи

Все врачи
Реброва Дина Владимировна

Реброва Дина Владимировна

Врач-эндокринолог хирургического (эндокринологического) отделения, к.м.н.

Русаков Владимир Федорович

Русаков Владимир Федорович

Врач-эндокринолог хирургического (эндокринологического) отделения (внешний совместитель), к.м.н. (прием не ведет)

Слепцов Илья Валерьевич

Слепцов Илья Валерьевич

Главный специалист Клиники по эндокринологии, врач - хирург, эндокринолог, онколог хирургического (эндокринологического) отделения, д.м.н., профессор, заведующий кафедрой эндокринной хирургии медицинского института СПбГУ

Черных Максим Александрович

Черных Максим Александрович

Врач-онколог онкологического отделения № 2