пн-пт с 8:00 до 21:00

сб-вс с 8:00 до 20:00

Опухоли сердца - это разные по своей структуре новообразования, возникающие из тканей самого сердца или прорастающие в них из других органов. Новообразования могут прорастать сердечную мышцу, перикард, поражать клапаны и перегородки сердца.

Классификация опухолей

Все опухоли сердца можно разделить на ПЕРВИЧНЫЕ (развивающиеся из тканей сердца) и ВТОРИЧНЫЕ (возникают как метастазы первичной внесердечной злокачественной опухоли).

Первичные опухоли подразделяются на доброкачественные (75% от всех первичных опухолей) и злокачественные (25%).

Доброкачественные первичные опухоли сердца:

  • миксома (наиболее часто встречающийся тип опухолей сердца - 75% всех доброкачественных новообразований миокарда); 
  • липома; 
  • сосочковая фиброэластома; 
  • рабдомиома; 
  • фиброма, гемангиома, тератома и другие опухоли встречаются реже.

Злокачественные первичные опухоли сердца:

  • саркома (ангиосаркома, лейомиосаркома, рабдомиосаркома, фибросаркома, липосаркома, остеосаркома)
  • лимфома
  • мезотелиома

Симптомы миксомы

Встречающиеся чаще всего миксомы представляют собой мягкотканные образования желеобразной консистенции, нередко покрытые соединительнотканной капсулой. Типичной локализацией миксомы является левое предсердие (до 75% случаев), однако возможно ее нахождение во всех камерах сердца. Как правило, миксомы имеют ножку различной ширины, которой они и прикрепляются к стенке камеры сердца.

Клиническая картина заболевания крайне разнообразна и малоспецифична, зависит от локализации опухоли, ее подвижности, наличия "ножки", размеров, способности к фрагментации, возможности прорастания в проводящую систему сердца. Пациентов беспокоят одышка, боли в груди, головокружения, обмороки, различные виды аритмий. Нередко наблюдается отсутствие каких-либо симптомов, и наличие новообразования является случайной находкой в ходе планового обследования пациента.

Поражение проводящей системы проявляется разнообразными нарушениями ритма и проводимости (блокады, пароксизмальные наджелудочковые и желудочковые тахикардии). Как правило, это характерно для опухолей, растущих в толщине стенки (фибромы, рабдомиомы) сердца.

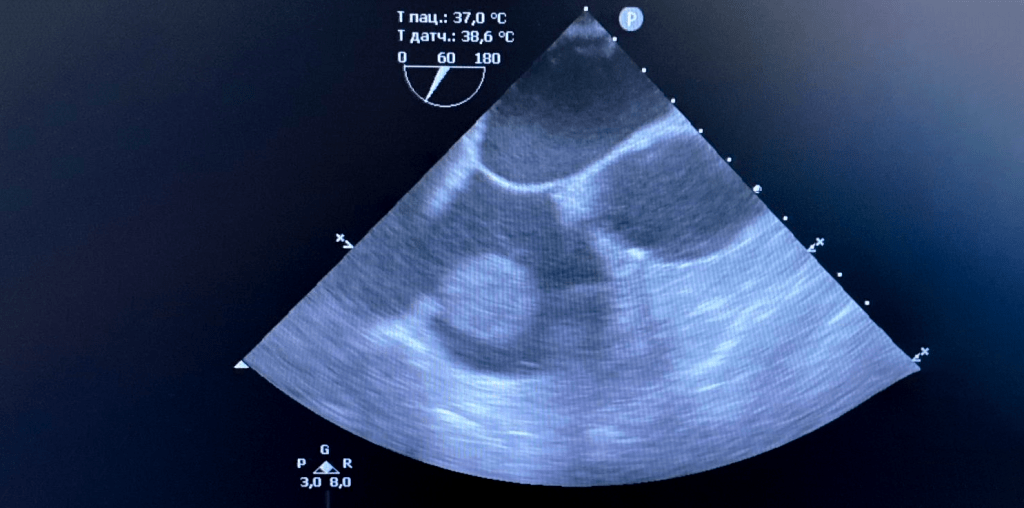
Эхокардиографическое изображение редкого случая миксомы нетипичной локализации – опухоль на ножке располагалась на границе правого предсердия и устья нижней полой вены. Больной успешно прооперирован в КВМТ им. Н.И. Пирогова СПбГУ в условиях искусственного кровообращения, кардиоплегии и гипотермической остановки кровообращения.

Миксомы опасны тем, что:

  1. Нарушают внутрисердечную гемодинамику, создавая препятствие току крови через клапаны, вызывают картину клапанного стеноза или недостаточности; степень выраженности жалоб зачастую зависит от положения тела пациента.
  2. Могут привести к эмболии опухоли или ее фрагментов, вызывая острые нарушения мозгового кровообращения (инсульты), инфаркты внутренних органов, ишемию конечностей. Происходит это из-за отрыва фрагментов опухоли и блокирования кровотока в пораженном органе вне сердца.

Диагностика опухолей сердца

Относительно редкая встречаемость, разнообразная локализация в камерах сердца, различия в строении и размерах делают диагностику опухолей сердца непростой задачей. В настоящее время применяется целый ряд обследований: 

  • ЭКГ - малоинформативно, но, ввиду своей доступности, используется часто и позволяет заподозрить гипертрофию миокарда, нарушение проводимости и ритма, ишемию миокарда и т. д.
  • Рентгенография органов грудной клетки выявляет увеличение размеров сердца и признаки легочной гипертензии.
  • Эхокардиография (трансторакальная и чреспищеводная) – основной и наиболее доступный метод диагностики опухолей сердца. В абсолютном большинстве случаев предоставляет достаточно информации об образовании и наиболее оптимальном способе его лечения.
  • МРТ и МСКТ сердца применяется, когда данные эхокардиографии требуют уточнения.

Показания к операции

Каждый конкретный случай заболевания уникален и требует индивидуального подхода. Тем не менее, можно точно сказать, что наличие миксомы в полости сердца является показанием к ее удалению хирургическим путем, так как риск фатальных осложнений очень велик.

Липомы и гемангиомы зачастую требуют наблюдения и контроля в динамике. Чаще всего доброкачественные новообразования могут быть удалены радикально, с малой вероятностью рецидива, что достигается иссечением образования с окружающими тканями и последующей пластикой образовавшегося дефекта стенки предсердия или межпредсердной перегородки. Редко у таких пациентов после удаления образования выявляется нарушение анатомии клапанного аппарата сердца, что требует пластики или (реже) протезирования клапана.


Важно!

При подозрении на злокачественную опухоль сердца необходимо оценить операбельность пациента. Чаще всего выполнить радикальную операцию таким пациентам не удается, хирургическое лечение сочетается с лучевой или химиотерапией и является паллиативным.

Все опухоли сердца несут потенциальную опасность возникновения смертельно опасных осложнений, а именно: сердечной недостаточности, аритмий, перикардита, тампонады сердца, эмболий в артерии большого и малого круга кровообращения.

Диагностика и лечение опухолей сердца - один из профилей работы специалистов нашего Центра кардиохирургии в Петербурге. Для записи на прием оставьте заявку на сайте или позвоните по телефону +7(812) 676-25-25. Также у вас есть возможность записаться к нужному врачу онлайн через личный кабинет на нашем сайте.

Оставьте заявку на обратный звонок

Оставьте ваши контактные данные, и мы свяжемся с вами в ближайшее время

Наши врачи

Все врачи
Каменских Максим Сергеевич

Каменских Максим Сергеевич

Заведующий кардиохирургическим отделением с кабинетом рентгенэндоваскулярных диагностики и лечения, врач сердечно-сосудистый хирург, к.м.н.

Ким Глеб Ирламович

Ким Глеб Ирламович

Врач сердечно-сосудистый хирург кардиохирургического отделения с кабинетом рентгенэндоваскулярных диагностики и лечения, к.м.н.

Шматов Дмитрий Викторович

Шматов Дмитрий Викторович

Заместитель главного врача по медицинской части (кардиохирургия), врач сердечно-сосудистый хирург, д.м.н., заведующий кафедрой сердечно-сосудистой хирургии медицинского института СПбГУ