пн-пт с 8:00 до 21:00

сб-вс с 8:00 до 20:00

Перелом палача или травматический спондилолистез второго шейного позвонка заключается в переломе ножек С2 и смещением тела аксиса вперед. Перелом был впервые описан у казненных через повешенье. Отсюда и закрепилось данное странное название. В дальнейшем подобное повреждение было описано при дорожно-транспортных происшествиях, падениях и других травмах. В большинстве случаев у пациентов с переломом палача не наблюдается неврологических расстройств, так как позвоночный канал при данной травме расширяется. Но при больших смещениях могут наблюдаться неврологические расстройства вплоть до тетраплегии. 

Уникальность второго шейного позвонка заключается в том, что на нем происходит переключения движений в шее с вращения на сгибание-разгибание и боковые наклоны. Перелом ножек и смещение тела С2 приводит к выраженной подвижности (нестабильности) мощной дуги аксиса к которой прикрепляется мышечный аппарат поворота головы. Это вызывает выраженные биомеханические проблемы в шее и хронический болевой синдром. 

Перелом палача (Hangman’s fracture, перелом Хагмана) чаще встречается у взрослых, особенно у пожилых людей. У детей имеются единичные наблюдения. Спондилолистез может быть вызван несколькими факторами, но в данной статье мы рассматриваем именно травматическую природу заболевания.

Перелом второго шейного позвоночника может быть вызван разного рода травмами:

  • В результате прямого удара в область шеи или сильного сдавливания. 
  • В результате падения с высоты или прыжков вниз головой на мелководье. 
  • В результате резкого сгибания шеи посредством воздействия извне. 
  • В результате ДТП и серьезных автомобильных аварий.

Перелом палача может приводить к заметному ухудшению зрения и тетраплегии, поэтому важно вовремя записаться на прием к травматологу для лечения данной патологии.

Диагностика перелома палача

При диагностике перелома палача прежде всего определяют его характер, проводя функциональные пробы. Врач-травматолог направляет пациента на рентгенологическое исследование, МРТ и КТ. По результатам проведенных исследований оценивается состояние пациента и предлагается лечение.

Лечение перелома палача

К сожалению, большинству пациентов с переломом палача врачами предлагается консервативное лечение, которое заключается в длительном ношении жесткого воротника. Использование внешней фиксации (Halo - cast) и передняя стабилизация сегмента С2-С3 не решают проблему перелома ножек, их сращения и восстановления стабильности дуги аксиса. 

Поэтому специалисты нашей клиники в Санкт-Петербурге считают, что наиболее биомеханически обоснованным и эффективным методом лечения перелома палача является устранение смещения и фиксация ножек С2 с помощью специальной методики транспедикулярной фиксации.

Суть данного способа лечения заключается в том, что ножка С2 крепко соединяется винтом, отломки прижимаются к друг другу за счет специального хирургического приема. Тело С2 подтягивается на место. Данный метод с успехом применяется у нас в клинике и за рубежом уже более 10 лет. Его можно использовать как в экстренных случаях, так и при застарелых повреждениях, даже если пациент находится в иммобилизации воротником несколько месяцев.

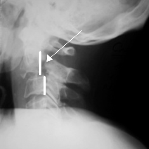
Рис.1 Перелом палача. Тело С2 смещено кпереди относительно С3 (спондилолистез). Стрелкой указан перелом ножки

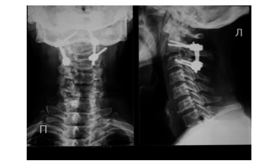
 Рис.2 Произведена репозиция и фиксация перелома палача. Смещение устранено. Ножки позвонка соединены транспедикулярными винтами

Рис.3 Схема репозиции и фиксации позвонков при переломе палача

Записывайтесь на прием к специалистам травматологического отделения нашей клиники в Санкт-Петербурге по телефону 676-25-25 и вы получите полный комплекс диагностики лечения различного рода заболеваний.  

Оставьте заявку на обратный звонок

Оставьте ваши контактные данные, и мы свяжемся с вами в ближайшее время

Наши врачи

Все врачи
Афанасьев Ардан Петрович

Афанасьев Ардан Петрович

Врач травматолог-ортопед травматологического отделения № 3, к.м.н.

Губин Александр Вадимович

Губин Александр Вадимович

Главный врач Клиники, врач травматолог-ортопед высшей категории, д.м.н., профессор, заведующий кафедрой травматологии и ортопедии Медицинского института СПбГУ

Рябых Сергей Олегович

Рябых Сергей Олегович

Врач травматолог-ортопед высшей квалификационной категории травматологического отделения № 3, д.м.н. (внешний совместитель)